360° Spine Care | Dr. Rohit Thaker | Best Spine Surgeon Ahmedabad

360° Spine Care by Dr. Rohit Thaker
From Pain to Perfect Posture
Complete Spine Solutions with Endoscopic &
Minimally Invasive Spine Expertise
Experience the Future of Spine Surgery – Today
Minimally invasive surgery with tiny incisions
Fast recovery and early return to daily life
Personalized treatment for all spine issues






Dr. Rohit Thaker – Best Spine Surgeon in Ahmedabad, Gujarat.
+91 99 09 20 30 30
+91 90544 89810
+91 79905 30397
Expert Spine Surgeon in Ahmedabad –
Dr. Rohit Thaker
Specialist in Endoscopic, Stitch-less, and Minimally Invasive Spine Surgery. Helping You Regain a Pain-Free Life.
Our Services
Our Specialized Spine Treatments.
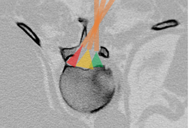
Cervical and Lumbar Disc Prolapse
Disc prolapse, or “slipped disc,” happens when the soft part of a spinal disc bulges out, pressing on nearby nerves. This can cause pain in the neck, shoulders, arms, or legs.
Through Minimally Invasive Microdiscectomy, Dr. Thaker restores spinal health effectively with minimal disruption.
Spinal Tuberculosis (TB Spine)
Spinal deformities such as scoliosis (side curvature) and kyphosis (forward bending) require careful correction to restore spinal alignment. Dr. Rohit Thaker employs advanced instrumentation and planning software to achieve the best functional and cosmetic outcomes.
Back Pain and Sciatica
Back pain is one of the most frequent reasons for medical visits. It may result from muscle strain, herniated disc, or spinal degeneration. Sciatica, on the other hand, occurs when the sciatic nerve (running from the lower back to the leg) gets compressed, causing radiating pain, numbness, or tingling.
Dr. Rohit Thaker specializes in Endoscopic Sciatica Surgery that relieves nerve compression with minimal incision and faster recovery.
Scoliosis and Kyphosis (Spinal Deformities)
TB of the spine can cause bone destruction, deformity, and neurological issues if not treated in time. Dr. Rohit Thaker’s Minimal Invasive approach combines medical and surgical management for complete recovery and spine stabilization.
Spine Tumors
Spine tumors can be benign or malignant and often present with severe pain, weakness, or difficulty walking. Dr. Rohit Thaker’s team provides comprehensive diagnosis and advanced surgical management for spinal tumors using precision techniques.
Spinal Fractures and Traumatic Injuries
In cases of accidents or falls, spinal fractures may threaten spinal cord health. With minimally invasive fixation techniques, Dr. Rohit Thaker ensures stability and early mobilization for trauma patients.
Pain Procedures for Spine Conditions
Advanced pain management procedures like Cervical Epidural Injections and Nerve Root Blocks provide significant relief from chronic neck, arm, and back pain caused by disc prolapse or nerve compression. These minimally invasive procedures reduce inflammation around the affected nerves, helping patients avoid or delay surgery while improving mobility and comfort. Under the expertise of Dr. Rohit Thaker, Consultant Endoscopic and Minimally Invasive Spine Surgeon, such procedures are performed with precision and safety.
Back Pain Prevention Program
Chronic back pain can often be avoided with the right posture, exercises, and spine care awareness. The Back Pain Prevention Programme by Dr. Rohit Thaker, Consultant Endoscopic and Minimally Invasive Spine Surgeon, focuses on early detection, lifestyle correction, and guided strengthening techniques to keep your spine healthy. Learn how to protect your back, prevent disc problems, and maintain long-term spinal wellness through expert guidance.
Post-Operative Spine Rehabilitation
Recovery doesn’t end after surgery — it begins there. Post-operative rehabilitation plays a vital role in restoring strength, flexibility, and spinal stability. Under the expert care of Dr. Rohit Thaker, Consultant Endoscopic and Minimally Invasive Spine Surgeon, patients receive personalized rehab plans focused on safe mobilization, posture correction, and long-term spine health. Early guided physiotherapy ensures faster recovery and a return to an active, pain-free life.
Stay Informed
Get tips and updates on spine health